MR pregled
mekih tkiva
glave i vrata

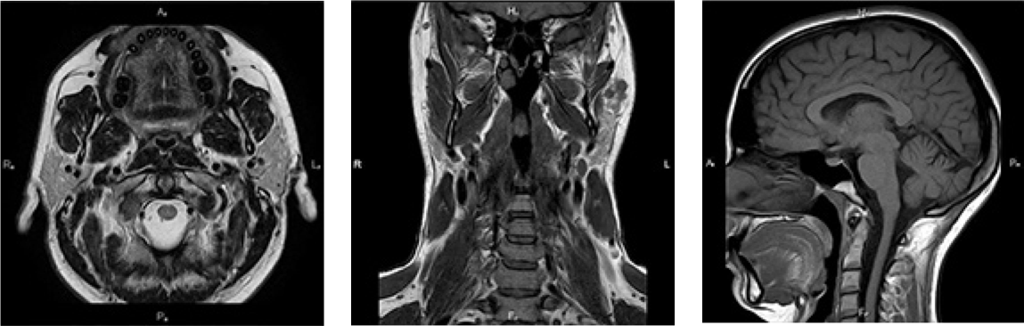
Neinvazivna dijagnostička metoda koja pruža detaljan uvid u strukture glave i vrata izvan mozga i kičmene moždine.

Pregled obuhvata pljuvačne žlezde, limfne čvorove, krvne sudove i mišiće regije glave i vrata. Pruža izuzetno detaljne slike sa visokom kontrastnom rezolucijom za preciznu dijagnostiku.

Naša 3T tehnologija omogućava vrhunski prikaz mekotkivnih struktura, što je od ključnog značaja za ranu detekciju patoloških procesa, procenu proširenosti tumora i stanja limfnih čvorova vrata.

KONTAKT
MR Vrat snimci

Detaljan uvid u strukture glave i vrata izvan mozga i kičmene moždine uz vrhunski 3T prikaz i eliminaciju rentgenskog zračenja.

MR Vrat postupak

Pregled traje 20-40 minuta. U zavisnosti od indikacije, može se koristiti kontrastno sredstvo za bolju vizualizaciju patoloških promena i jasniju diferencijaciju okolnih struktura.

Žlezde

Detaljna evaluacija parotidnih, submandibularnih i sublingvalnih pljuvačnih žlezda radi otkrivanja upala, kamenaca ili tumora.

TMJ

Visokoprecizan pregled temporomandibularnih (viličnih) zglobova za dijagnostiku disfunkcije diskusa, artritisa i degenerativnih promena.

Angio

MR angiografija vrata omogućava neinvazivan i izuzetno detaljan pregled karotidnih i vertebralnih arterija bez upotrebe katetera.

Rezultati

Detaljan izveštaj sa stručnim opisom nalaza i zaključkom dostavlja se u najkraćem roku. Uz nalaz, pacijent dobija digitalne snimke na CD-u za dalju upotrebu i konsultacije sa specijalistima (ORL, maksilofacijalni hirurzi).

Naša oprema

Naša oprema.

U Novembru mesecu 2024. godine u Centru je instaliran novi MR aparat poslednje generacije sa veštačkom inteligencijom koji nudi još veću preciznost, kvalitet slike 3 Tesla i značajno kraće vreme snimanja.

Širi otvor ovog novog aparata čini MR pregled daleko konfornijim. Pored standardnih pregleda novi aparat za razliku od aparata ranijih generacija omogućava i MR pregled srca i pluća kao i niz drugih inovativnih pristupa koji u značajnoj meri povećavaju tačnost i preciznost MR dijagnostike.