CENTAR ZA MAGNETNU
REZONANCU
VMR Centar za magnetnu rezonancu
Osnovan je 2003. godine kao prvi privatni Centar za dijagnostiku magnetnom rezonancom u Srbiji.
U proteklom periodu u VMR Centru je urađeno više od 100 000 MR pregleda, a sam Centar je prepoznat kao vrhunska zdravstvena ustanova, koja je uvek raspolagala savremenom opremom, kao i timom vrhunskih stručnjaka iz svih oblasti MR dijagnostike.
Najsavremeniji
MR aparat
U Novembru mesecu 2024. godine u Centru je instaliran novi MR aparat poslednje generacije sa veštačkom inteligencijom koji nudi još veću preciznost, kvalitet slike 3 Tesla i značajno kraće vreme snimanja.
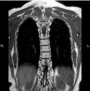
Širi otvor ovog novog aparata čini MR pregled daleko komfornijim. Pored standardnih pregleda novi aparat za razliku od aparata ranijih generacija omogućava i MR pregled srca i pluća kao i niz drugih inovativnih pristupa koji u značajnoj meri povećavaju tačnost i preciznost MR dijagnostike.
Stručnost i tehnologija
Permanentno zanavljanje postojećih MR aparata novim apartima poslednje generacije, uz angažman vodećih stručnjaka u oblasti MR dijagnostike.
Od samog osnivanja predstavlja temeljni princip organizacije rada VMR Centra, princip koji nesumnjivo garantuje vrhunsku MR dijagnostiku.
MR Pregledi
Proverena i tačna dijagnoza je suštinska za određivanje pravilnog postupka lečenja.

Mamografija
MR pregled dojke

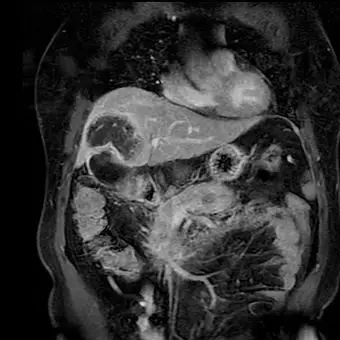
Pregled abdomena

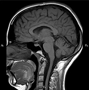
MR Centralnog nervnog sistema

MR Pregled karlice

MR Mekih tkiva
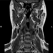
Glave i vrata

MR mišićno-skeletnog sistema

Pregled toraksa
Spektroskopija
Pored savremene opreme obezbedili smo popust od 10%
za sve penzionere i članice organizacije Humanitas
ZNAČAJNO ŠIRI OTVOR
MR APARATA
PREGLED ČINI PRIJATNIJIM
Osiguravajuća društva
VMR Centar već dugi niz godina uspešno sarađuje sa renomiranim osiguravajućim društvima, pružajući visokokvalitetne usluge svojim klijentima. Ova dugoročna partnerstva omogućavaju korisnicima sigurnost, poverenje i dostupnost širokog spektra usluga



